Spaced Anterior Teeth- A Hindrance To Great Smile

If you have difficulty in pronunciation or embarrassed while smiling due to spacing of front teeth, dental cosmetic treatment could solve your problems.

Spaced front teeth would cause unpleasant smile and unclear speech. Those who have this tend to cover their mouth while smiling and do not linger well socially as lack of confidence. Why does people have spaced teeth? Could these spaces be closed?

Causes of Spacing

  • Lengthened labial frenum
  • Missing posterior teeth causing anterior teeth to migrate backwards
  • Jaw is wide but teeth are small ( tooth and jaw size discrepancy)
  • Space remains after removal of supernumerary (additional tooth) especially between central incisors

Due to advancement of technology, dental services are not limited to only filling and extraction. A dentist could do wonders to your teeth to help you regain your perfect smile and confidence. Fear no more if you have discolored teeth, spaces in between teeth, mal-alignment of teeth or any other problems which affect your look as all could be dealt with through expertise of dentist and advance dental materials.

Spaces between upper central incisors are common and could be treated with the following according to individual’s option and length of space:

  • Filling
  • Veneer
  • Crown
  • Bridge
  • Orthodontic treatment (braces)
  • Denture

Below are two respective cases for your reference.

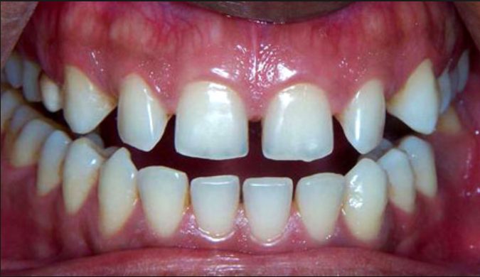
Case 1

A 33 years old Indian lady came requesting for closure of an anterior teeth gap of about 3mm. She chose filling as that is the fastest, cheapest and simplest way.

Treatment Procedures

  1. Reshape and trim the edges of teeth facing the gap to make them straight.
  2. Etched the trimmed surfaces with dental etching gel to enhance bonding of filling material.
  3. Wash away the etching gel and apply bonding agent. A blue light is shined to cure the bonding solution.
  4. Apply tooth color filling material layer by layer and followed by blue light curing to harden them until the whole gap is closed.

This patient felt happy and satisfied with the result as she does not have to be embarrassed when she talks and smile again.

Case 2

 A 35 years old Chinese man came searching for help to close the gap of his upper front teeth as he is superstitious and worried that the gap would cause him to lose his prosperity. He chose the filling option as well.

Teeth are just as important as our facial organ

Teeth play an important role in developing a sweet and great smile. Unfortunately not everyone has a good set of straight teeth. Luckily nowadays dentists are able to do more than just normal pain relief treatment but facial reconstruction as well.

Do you have a good set of straight and white teeth? If no, feel free to visit your dentist for cosmetic treatment consultation.