Periogreen photothermal therapy case

Periogreen photothermal therapy is actually laser-assisted gum therapy. Periogreen is a dye, to stain the bacteria, while laser is the energy, in light form used to burst the stained bacteria. The procedure of this photothermal therapy can be done in less than 10 minutes and this kind of bacterial elimination can be repeated and unlike antibiotics, it has no side effect and resistance issue. Almost all of my chronic gum disease patients have no more bad breathe after the first course of laser gum therapy. With proper oral health care routine at home, there is total elimination of gum bledding within 2 weeks after the treatment. Most of them have reduced mobility of  loosening teeth after few months, while some of them even show bone regeneration in follow up x-ray after few years.

I would like to share with you one of my Periogreen photothermal therapy case:

This gentleman came to see me, complained of loose teeth. He was a regular dental attendee, went for regular scaling every 6 to 12 months. However, he had been warned that he might be losing all his dentition eventually and need replacement either denture or implants in future.

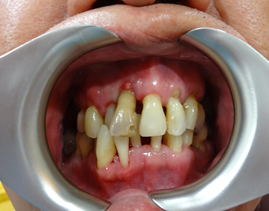
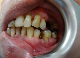
This is how his dentition and gum condition when he first saw me. Scaling was done prior to photo taking. His oral hygiene was compromised, and one of the upper front incisor is wobbly, with gum boil. Thorough examination for his teeth and gum was done. He wanted gum therapy and hope to save his other teeth, if possible. He also understood that gum therapy is a tedious procedure and needs his co-operation in term of good ora hygiene home care routine.

It is a always a standard procedure to take X-ray and periodontal charting (to measure the ‘cuff’ of gum around each tooth to see if there is any sign that periodontal disease has started and the severity) as a baseline record. X-ray is needed to see the amount of bone that has been lost. We did the same thing for this gentleman, severe bone loss was noticed at the lower front teeth region but he refused to extract them. The lower front teeth are loose but did not disturb his chewing, and most importantly, there was no active infection. After discussion, we decided to keep them and will only remove them in future if worsening. Those were considered hopeless teeth.

Its was a tedious procedure during the first course of Periogreen therapy. Thorough cleaning of calculus and tatar was carried out under local aneasthesia, prior to laser photothermal therapy. I always tell my patient: scaling and root planning is like sweeping the floor, while laser therapy is like floor detergent. No matter how dirty the floor is, you still need to sweep it, before mopping with floor detergent. After removal of tatar, periogreen dye was flowed into the periodontal pocket surrounding the teeth. Periogreen adheres to the plasma proteins in the membranes of bacterial cells and dyes them. Then, laser light is used to activate Periogreen and with a very low laser energy, imperceptible thermal heat peaks are created and destroy the bacteria, without destroying the normal cells. Low laser energy may also promote better healing of the gum condition.

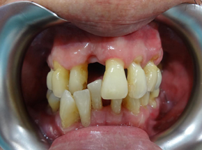
After the first therapy, there was total elimination of bad breathe and reduction in bleeding spot. Of course, I must complement his great effort in maintaining his oral hygiene. We repeated this procedure for another two times and review after 6 weeks, to allow gum healing. This is the result during review.

Gum appeared pinkish and healthy. No more gum bleeding, no more bad breathe, and teeth mobility was reduced. Clinical examination also showed great improvement. However, the lower front teeth are still loose, but no more bleeding.

We started to replace his missing teeth by implants after stabilising his gum condition. Throughout these years, x-ray were taken for implant placement and review purposes. Recent X-ray revealed bone regeneration at lower front region, and clinically his lower front teeth are firm after 2 years of the Periogreen photothermal therapy. We are both glad that we decided to keep his lower front teeth despite of the poor prognosis at that time.

In a nutshell, Periogreen photothermal therapy shows fantastic outcome in treating gum disease, especially chronic periodontitis. However, oral hygiene care at home plays an important role in making gum therapy successful. Laser assisted gum therapy is not magic, but it can be a ‘magic cure’ to chronic gun disease with proper oral hygiene care and maintenance.